Image

Best Invisible Clear Aligners in Ahmedabad

Struggling with teeth gaps but don’t want to deal with the hassle of traditional braces? Clear aligners are the modern solution that fits perfectly into your lifestyle. If you are searching for clear aligners treatment in Ahmedabad, book an appointment at Kkeswani Dental & Polyclinic. Clear aligners, also known as invisible braces or clear braces, are transparent, custom-fitted trays designed to gradually move your teeth into their correct position. compared to metal braces, they are pleasant, detachable, and practically undetectable, making them a popular choice among adults and teens seeking discreet treatment.

Clear aligners often provide faster and more convenient outcomes than conventional braces. They effectively treat teeth gaps, crowding, and bite issues while allowing you to enjoy your favorite foods without restrictions. Cleaning is easier, dental appointments are fewer, and your daily routine remains intact. By wearing clear aligners for 18–20 hours a day, gentle and consistent pressure is applied to gradually shift your teeth into alignment. With their comfort, effectiveness, and aesthetic appeal, clear aligners provide a smarter, more flexible way to achieve the smile you’ve always wanted—without metal brackets or wires. Kkeswani Dental & Polyclinic in Ahmedabad offers clear aligners treatment to help you achieve a confident smile.

Why Do You Need Invisalign Braces or Clear Aligner Treatment?

Clear aligners are an advanced orthodontic solution for correcting mild to moderate dental issues without metal braces. They are nearly invisible, comfortable, and removable, making them a preferred choice for many patients. Invisalign or clear aligner treatment is perfect for:

  • Spacing / Gaps Between Teeth: Closes unwanted gaps for a uniform smile.
  • Crowded Teeth: Corrects overlapping or misaligned teeth effectively.
  • Crossbite: Aligns upper and lower teeth for proper bite function.
  • Overbite / Overjet: Improves bite and jaw alignment.
  • Underbites: Corrects lower jaw protrusion.
  • Crooked Teeth: Straightens mild to moderate misalignment.

Benefits of Clear Aligners or Invisalign Braces

Clear aligners (Invisalign or Invisible Braces) are a modern and advanced solution for teeth straightening. At Kkeswani Dental & Polyclinic, we provide invisalign treatment in Ahmedabad with multiple benefits that make it a preferred choice over traditional braces:

  • Removable: Clear aligners, compared to fixed braces, can be easily removed when eating, drinking, brushing, or flossing, allowing you to resume your daily activities without limitation.
  • Less Maintenance: Clear aligners require fewer maintenance procedures and are simple to clean. Just rinse and brush them daily to keep them hygienic and clear.
  • Comfortable, Cost-Effective & Safe: Made from smooth, BPA-free plastic, they are more comfortable than metal braces, cost-effective in the long run, and safe for daily wear.
  • Smart Force Feature: Invisalign uses innovative Smart Force technology to apply moderate, precise pressure for predictable and efficient tooth movement, leading to successful outcomes.

Treatment Process of Clear Aligner & Invisalign Braces

  • Digital Impressions: Using advanced 3D scanning technology, we take precise digital impressions of your teeth, eliminating the need for messy traditional molds.
  • Treatment Plan Creation: Our orthodontist creates a personalized treatment plan, showing the step-by-step progression of your teeth as they move into alignment.
  • Custom Aligners: A series of custom aligners is made specifically for you based on your treatment plan, each designed to gradually guide your teeth into ideal positions.
  • Wearing Aligners: You’ll wear each set of aligners for a prescribed period—typically around two weeks—before moving on to the next set.
  • Minimal Disruption: Because the aligners are removable, you can enjoy your favorite foods and maintain proper oral hygiene with ease.

Cost of Aligners/Invisalign in Ahmedabad

At Kkeswani Dental & Polyclinic, we provide advanced clear aligner treatment in Ahmedabad to help you achieve a confident and flawless smile. The clear aligner cost in Ahmedabad starts from Rs. 1,50,000/-, depending on the complexity of your case and treatment duration. Book your aligner consultation today and begin your journey towards a straighter, more confident smile with the best dental experts in Ahmedabad.

Best Dentist For Teeth Aligners

Image

Dr. Tanisha Kkeswani

BDS, MDS, Braces | Aligner Specialist

Meet the academic achiever of Manipal University, Dr. Tanisha Kkeswani. Her prowess is in fixing facial aesthetics, working with the advance braces system and has been successfully spreading smiles for 10 years.

Education

  • BDS From SDM Dental College, Dharwad
  • MDS ( Orthodontics & Dentofacial Orthopaedics) From Manipal University
  • Attended Advanced Orthodontics Course From South Korea
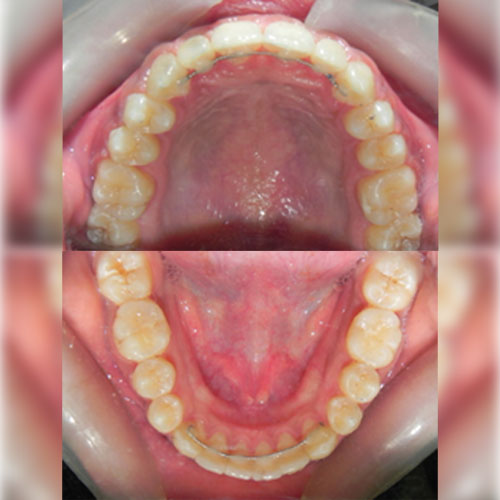
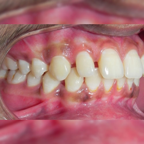
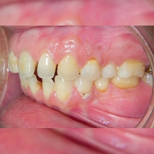
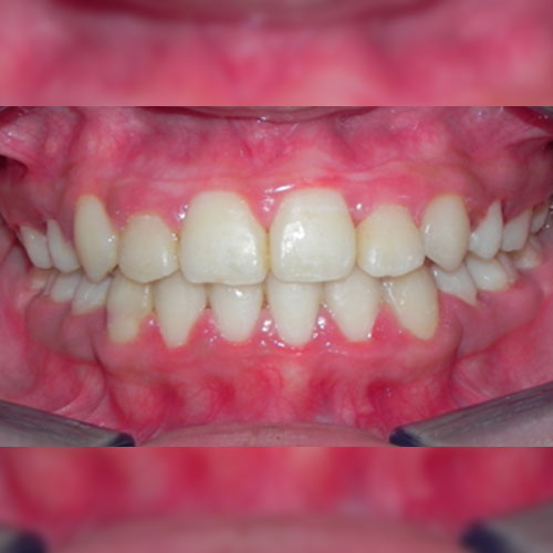
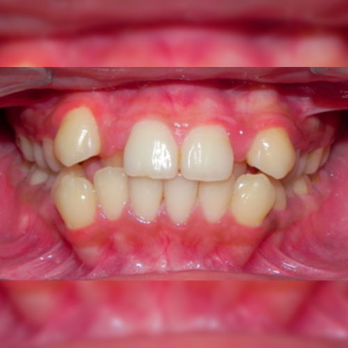
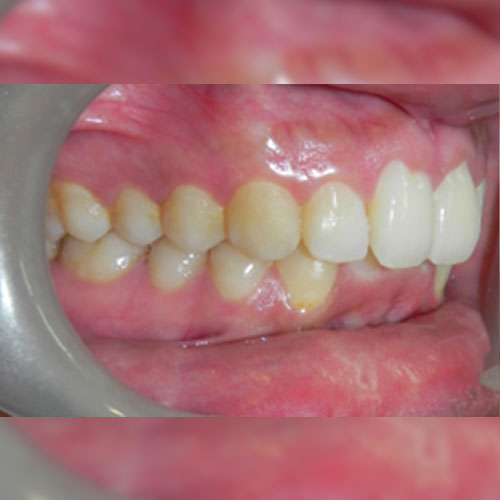
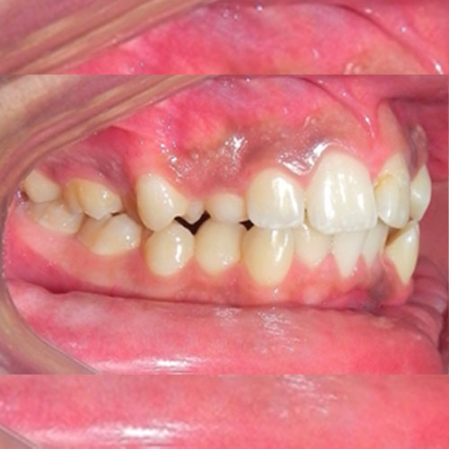
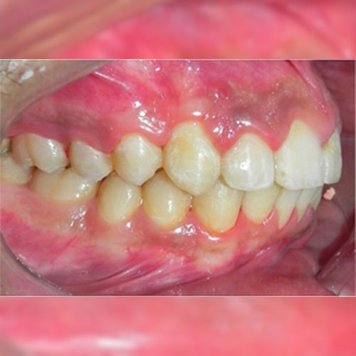
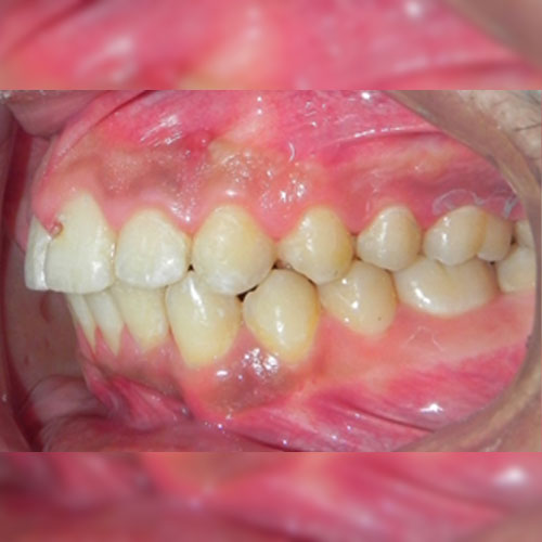
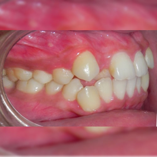
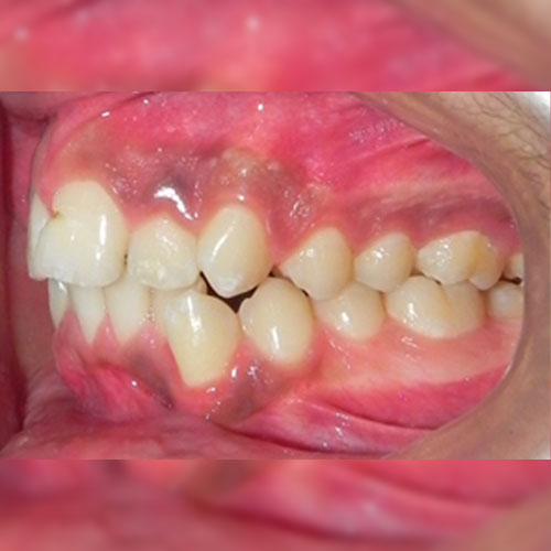
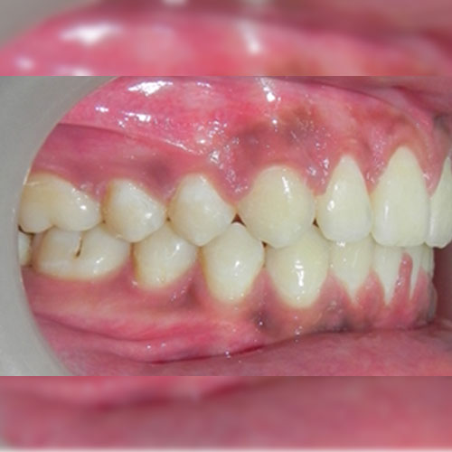
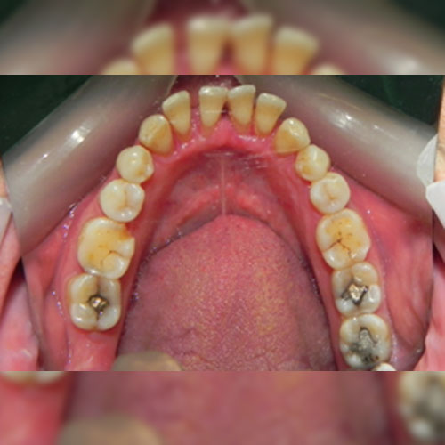
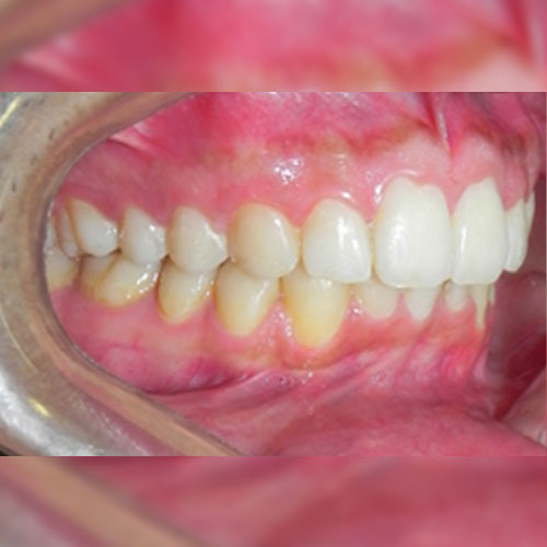
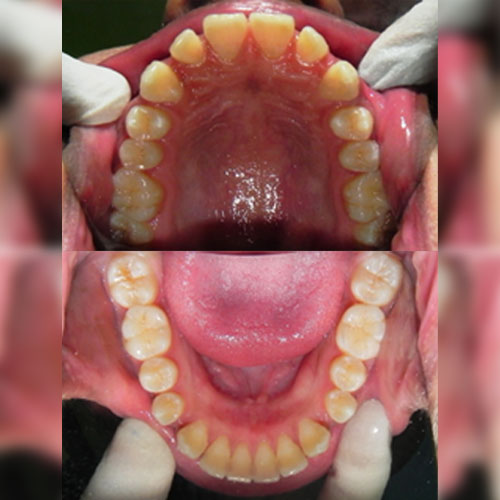
Smile Transformations

Real Patient Smile Transformations

21300+

Satisfied Patients

3

Specialist Doctor

15+

Years of Experience

11000

Dental Implants

Why Choose Us

01

Modern Technology

We make use of the most advanced dental technology to provide accurate diagnosis and successful treatments that will have the best possible effects on your oral health.

02

Patient-Centric Environment

We support personalized medical treatment. Each treatment strategy is customized to match your specific needs and preferences in terms of oral health.

03

Expert Dentists

Our dentists are well-trained and experienced, using advanced techniques to ensure a deep, thorough cleaning. We tailor the cleaning process to your specific oral health needs, addressing areas that require extra attention.

04

Always Available

We value your time and resources. For your convenience, we provide flexible scheduling and a variety of payment methods.

05

Prevention & Information

By educating you, we hope to provide you the power to maintain your dental health over the long term.

06

Comfortable Atmosphere

Our top priority is your comfort. We work hard to establish a relaxed and friendly atmosphere for a satisfying dental visit.

Testimonials

What Our Happy Clients Say About Us

Instagram Reel 1
Instagram Reel 2
Instagram Reel 3
Instagram Reel 4
Instagram Reel 5
Instagram Reel 6
Instagram Reel 7
Instagram Reel 8
×
Services

Teeth Aligners Services available in

Kkeswani Dental Clinic

Our Patients Love Us!

...and their new smiles :)
5.0 ★★★★★

Based on 132 reviews

powered by G o o g l e

Review us on G o o g l e
Mrs Gita Prakash
Ahmedabad

“What a Wonderful Doctor Dr Prattik Kkeswani! I was in complete care and happy to get my teeth cured. Very proficient dentist, highly knowledgeable and friendly. Operated very skillfully my teeth. Whole team of Dr Kkeswani is very humble and caring. Thank you Dr Prattik Kkeswani to bring my smile back.”

Image
Hima Mer
Ahmedabad

“Recently I got my root canal treatment from Kkeswani Dental and Polyclinic. Dr. Prattik is very experienced, polite, and friendly enough to make any patient comfortable enough. the clinic is very hygienic. Staff is very cooperative & great experience overall. Highly recommend. Thank you!”

Image
Priya Shah
Ahmedabad

“Dr. Tanisha is an expert in braises and the clinic is very child friendly, all x-rays happen inhouse. She takes time to explain every single detail and makes the patient comfortable. Since the clinic has seperate rooms with individual dental chairs , there is no disturbance and is very hygienic.”

Image
Akash Gajjar
Ahmedabad

“My personal experience of Kkeswani dental clinic was extremely good. A good vibes and for children special recommendations.”

Image
Shashwat Gopani
Ahmedabad

“Kkeswani Dental Clinic has an amazing team, which can do wonders for your teeth. And in personal treatment, done by Dr. Prattik Kkeswani, I can SMILE without any hesitation than ever before. So for a better smile you should consult him anyday.”

Image
Raghav Totla
Ahmedabad

“Absolutely amazing experience at Kkeswani Dental Clinic with Dr. Tanisha! I visited for a cleaning and was truly impressed by the detailed consultation, soothing ambience and precise treatment. What made it stand out was the genuine care, clear post-treatment guidance and follow-up call the next day. Truly the perfect place for anyone seeking expert dental care with a personal touch!”

Image

Scan the QR to call