Image

Crooked Teeth Treatment in Ahmedabad

If you are searching for the best crooked teeth treatment in Ahmedabad at an affordable cost, Kkeswani Dental & Polyclinic is the best crooked teeth correction clinic in Ahmedabad. Led by Dr. Tanisha Keswani (BDS, MDS, Braces), one of the best doctors for crooked teeth in Ahmedabad, our clinic specializes in advanced orthodontic solutions tailored for every age group. We provide comprehensive crooked teeth correction treatment in Ahmedabad, including braces and clear aligners, designed to give you a perfectly aligned and confident smile. Whether you’re a child, teenager, or adult, our team ensures safe, painless, and result-oriented treatment.

At our crooked teeth correction clinic in Ahmedabad, treatment options vary depending on the case. Crooked teeth can be corrected with either fixed or removable appliances, chosen after a detailed evaluation. While treatment is commonly done around 12 years of age, it can also be started earlier for preventive orthodontics or later for adults seeking correction. With innovative technology and personalized care, we focus on creating smiles that boost your confidence and improve oral health. Book your appointment today at Kkeswani Dental & Polyclinic and take the first step towards achieving a healthy, straight, and beautiful smile.

Why Need Crooked Tooth Correction?

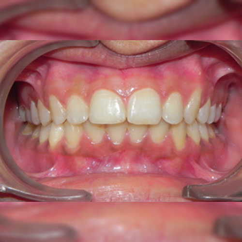
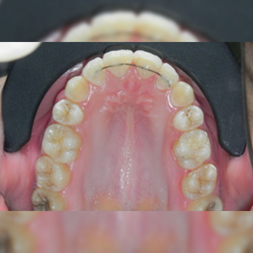
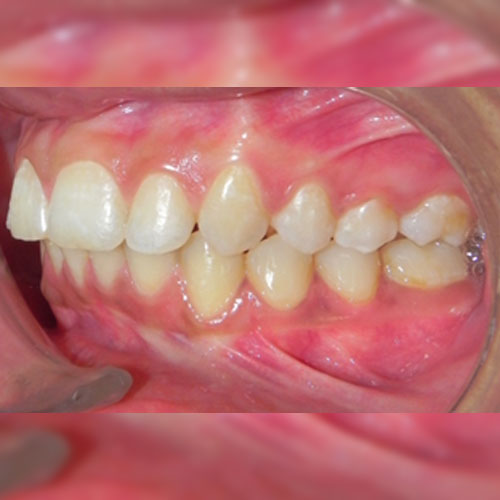
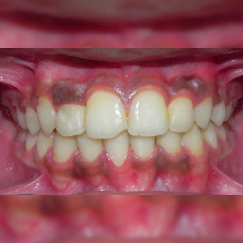
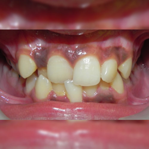
Crooked teeth are a common dental issue that affect both the appearance and function of your smile. At Kkeswani Dental & Polyclinic, we specialize in crooked teeth treatment in Ahmedabad, offering advanced solutions to help you achieve a perfectly aligned smile. Whether you have minor misalignment or severe crowding, our expert dentists create personalized treatment plans using traditional braces, clear aligners, or other modern orthodontic methods tailored to your needs.

What are the Signs I Should Consider Teeth Cleaning?

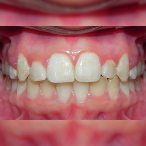
Improved Appearance: Correcting crooked teeth greatly enhances your smile aesthetics. By aligning teeth into a straight and uniform arrangement, it boosts self-confidence, improves facial harmony, and gives you a radiant smile that leaves a lasting impression.

Better Oral Health: Straight teeth are more convenient to keep clean and maintain. Crooked teeth often trap food particles and make brushing and flossing difficult, increasing the risk of cavities, gum disease, and uneven tooth wear. Correction helps reduce these risks and supports long-term dental health.

Choosing professional Crooked Teeth Correction in Ahmedabad ensures not only a beautiful smile but also a healthier mouth. Visit Kkeswani Dental & Polyclinic, where our expert orthodontists are dedicated to providing the best care for your dental needs.

Common Causes of Crooked Teeth

The professional teeth cleaning treatment clinic in Ahmedabad at Kkeswani Dental Clinic & Implant Centre helps combat bad breath, stained teeth, and gum issues. The procedure includes multiple steps for a complete and refreshing clean:

  • Jaw Size: Modern diets have reduced the need for strong jaws, often resulting in smaller jaw sizes. Limited space causes crowding and misalignment, making crooked teeth common in children and adults.
  • Behavioral Habits: Thumb sucking, pacifier use, or prolonged bottle-feeding can apply constant pressure on teeth and jaws, leading to misalignment in children and teenagers.
  • Poor Jaw Alignment: Malocclusion prevents teeth from fitting together properly, causing crooked teeth, uneven spacing, and discomfort while chewing or speaking.
  • Genetics: Family history plays a major role. If parents have overcrowded or misaligned teeth, children are more likely to inherit these traits.
  • Poor Dental Care: Lack of regular dental checkups and oral hygiene can lead to cavities, gum disease, and early tooth loss, allowing teeth to shift and become misaligned.
  • Poor Nutrition: Nutritional deficiencies during childhood affect jaw and tooth development, increasing the risk of improper alignment and tooth shifting.
  • Injury: Accidents or trauma to the mouth can displace teeth or damage the jaw, leading to long-term misalignment.
  • Early Loss of Baby Teeth: Premature loss creates gaps that cause nearby teeth to shift, disrupting proper eruption of permanent teeth and resulting in crooked smiles.

Pre-Procedure Guidance

  • Consultation and Assessment: Your journey to a straighter smile begins with an in-depth consultation. Our experienced orthodontists examine your teeth and discuss your goals to create a personalized treatment plan.
  • Treatment Options Discussion: We present a range of crooked teeth correction options, explaining the benefits and process of each, so you can make an informed and confident decision.

Post-Procedure Guidance

  • Retainer Usage: We guide you on proper retainer use to help maintain the longevity of your beautifully aligned smile.
  • Monitoring and Maintenance: Regular follow-up visits are recommended to monitor result stability and address any concerns promptly.

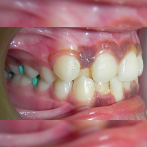
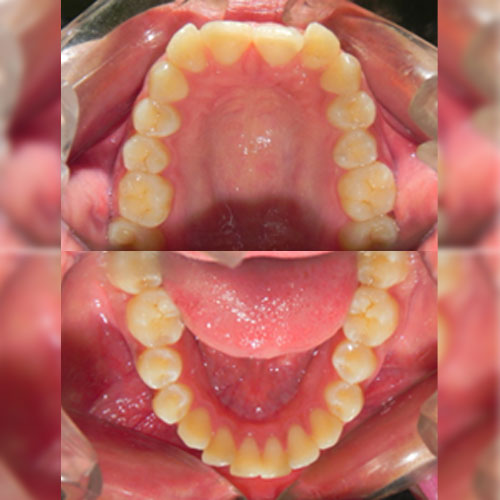
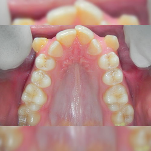
Treatment Process of Crooked Teeth

  • Orthodontic Evaluation: Our orthodontists take precise measurements, X-rays, and images of your teeth to guide the creation of a personalized treatment plan.
  • Customized Treatment: Based on the severity of misalignment, we offer solutions such as traditional braces, discreet clear (invisible) aligners, and innovative orthodontic appliances.
  • Progressive Adjustments: Throughout treatment, adjustments are made to your orthodontic devices to ensure steady progress toward your desired alignment.
  • Achieving Perfection: Once ideal alignment is reached, appliances are removed and retainers provided to maintain your stunning results.

Crooked Teeth Treatment Cost in Ahmedabad

At Kkeswani Dental & Polyclinic, we specialize in advanced crooked teeth correction treatment in Ahmedabad to restore both the beauty and function of your smile. Our treatment options, including braces and aligners, are designed to provide lasting results with comfort and care. The cost of crooked tooth correction starts from just ₹18,000/-, making it affordable and effective. Book your consultation today with our expert orthodontists and take the first step towards a confident, healthy, and perfectly aligned smile.

Best Dentist For Crooked Tooth Correction

Image

Dr. Tanisha Kkeswani

BDS, MDS, Braces | Aligner Specialist

Meet the academic achiever of Manipal University, Dr. Tanisha Kkeswani. Her prowess is in fixing facial aesthetics, working with the advance braces system and has been successfully spreading smiles for 10 years.

Education

  • BDS From SDM Dental College, Dharwad
  • MDS ( Orthodontics & Dentofacial Orthopaedics) From Manipal University
  • Attended Advanced Orthodontics Course From South Korea
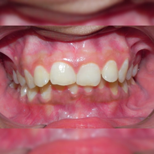
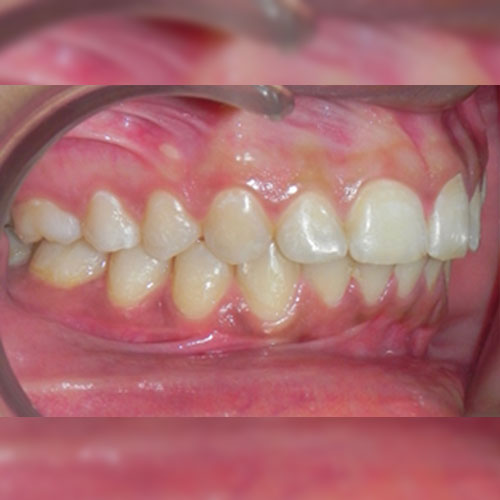
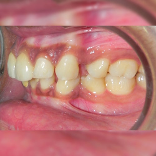
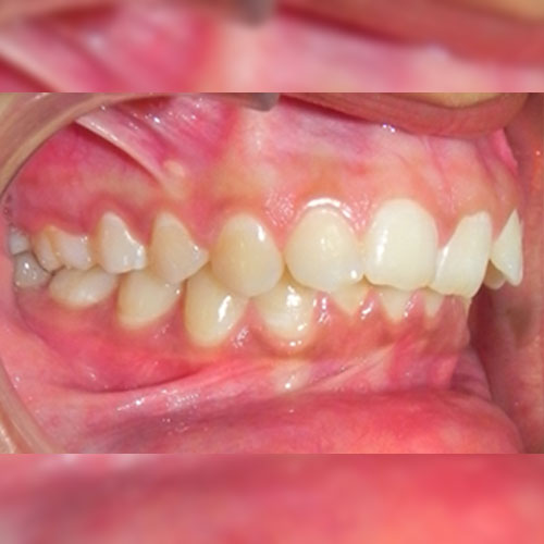
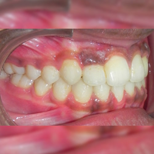
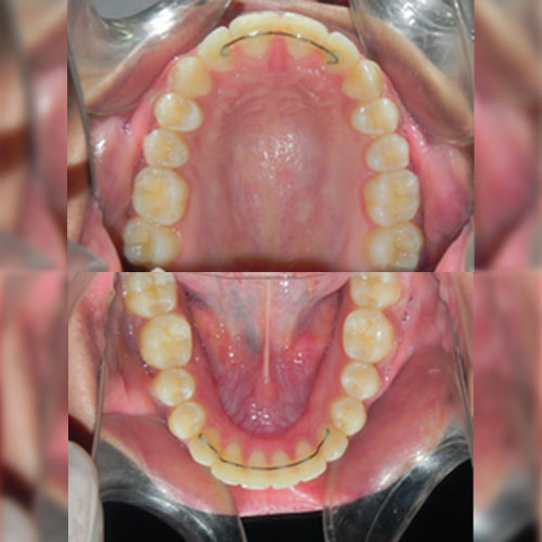
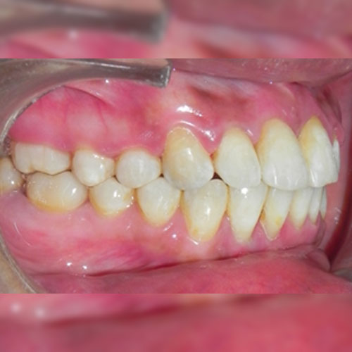
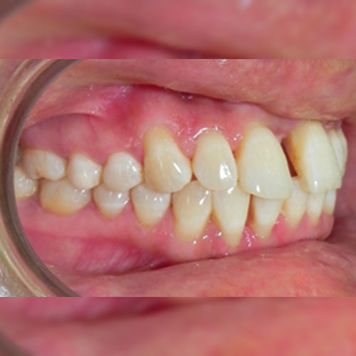
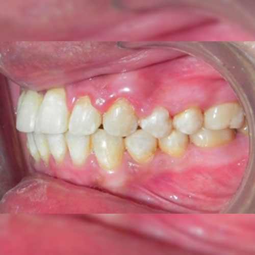
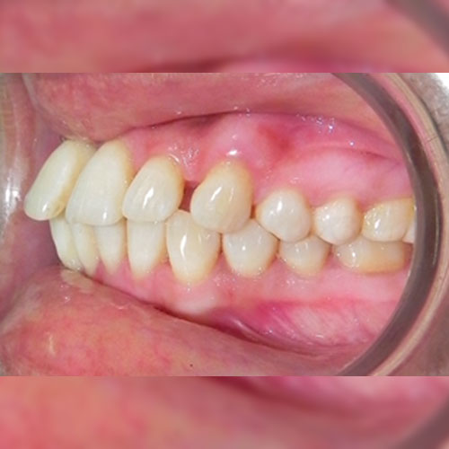
Smile Transformations

Real Patient Smile Transformations

21300+

Satisfied Patients

3

Specialist Doctor

15+

Years of Experience

11000

Dental Implants

Why Choose Us

01

Modern Technology

We make use of the most advanced dental technology to provide accurate diagnosis and successful treatments that will have the best possible effects on your oral health.

02

Patient-Centric Environment

We support personalized medical treatment. Each treatment strategy is customized to match your specific needs and preferences in terms of oral health.

03

Expert Dentists

Our dentists are well-trained and experienced, using advanced techniques to ensure a deep, thorough cleaning. We tailor the cleaning process to your specific oral health needs, addressing areas that require extra attention.

04

Always Available

We value your time and resources. For your convenience, we provide flexible scheduling and a variety of payment methods.

05

Prevention & Information

By educating you, we hope to provide you the power to maintain your dental health over the long term.

06

Comfortable Atmosphere

Our top priority is your comfort. We work hard to establish a relaxed and friendly atmosphere for a satisfying dental visit.

Testimonials

What Our Happy Clients Say About Us

Instagram Reel 1
Instagram Reel 2
Instagram Reel 3
Instagram Reel 4
Instagram Reel 5
Instagram Reel 6
Instagram Reel 7
Instagram Reel 8
×
Services

Crooked Teeth Correction Services available in

Kkeswani Dental Clinic

Our Patients Love Us!

...and their new smiles :)
5.0 ★★★★★

Based on 132 reviews

powered by G o o g l e

Review us on G o o g l e
Mrs Gita Prakash
Ahmedabad

“What a Wonderful Doctor Dr Prattik Kkeswani! I was in complete care and happy to get my teeth cured. Very proficient dentist, highly knowledgeable and friendly. Operated very skillfully my teeth. Whole team of Dr Kkeswani is very humble and caring. Thank you Dr Prattik Kkeswani to bring my smile back.”

Image
Hima Mer
Ahmedabad

“Recently I got my root canal treatment from Kkeswani Dental and Polyclinic. Dr. Prattik is very experienced, polite, and friendly enough to make any patient comfortable enough. the clinic is very hygienic. Staff is very cooperative & great experience overall. Highly recommend. Thank you!”

Image
Priya Shah
Ahmedabad

“Dr. Tanisha is an expert in braises and the clinic is very child friendly, all x-rays happen inhouse. She takes time to explain every single detail and makes the patient comfortable. Since the clinic has seperate rooms with individual dental chairs , there is no disturbance and is very hygienic.”

Image
Akash Gajjar
Ahmedabad

“My personal experience of Kkeswani dental clinic was extremely good. A good vibes and for children special recommendations.”

Image
Shashwat Gopani
Ahmedabad

“Kkeswani Dental Clinic has an amazing team, which can do wonders for your teeth. And in personal treatment, done by Dr. Prattik Kkeswani, I can SMILE without any hesitation than ever before. So for a better smile you should consult him anyday.”

Image
Raghav Totla
Ahmedabad

“Absolutely amazing experience at Kkeswani Dental Clinic with Dr. Tanisha! I visited for a cleaning and was truly impressed by the detailed consultation, soothing ambience and precise treatment. What made it stand out was the genuine care, clear post-treatment guidance and follow-up call the next day. Truly the perfect place for anyone seeking expert dental care with a personal touch!”

Image

Scan the QR to call