Image

Best Teeth Gap Closure Treatment: Best Solutions for Beautiful Smile

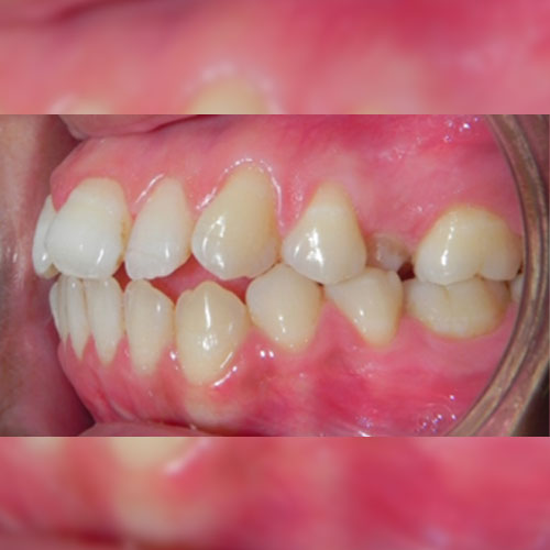
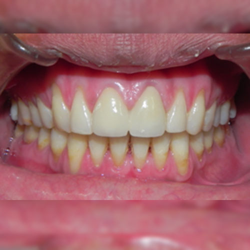
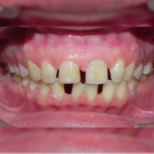
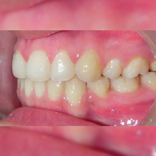
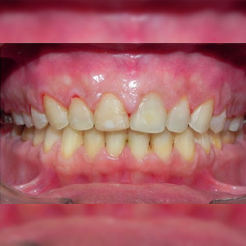
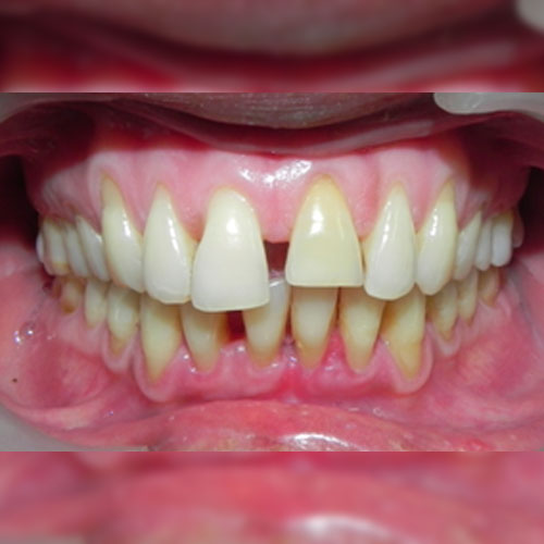
A gap between teeth, also known as diastema, not only impacts your appearance but can also affect overall dental health and confidence. If you are searching for the best treatment for gap teeth, want to know about teeth gap filling cost, or need expert advice on teeth gap closure treatment in Ahmedabad, Kkeswani Dental & Polyclinic offers the most advanced solutions tailored to your needs. We specialize in gap closure and teeth gap filling treatment in Ahmedabad, using modern, painless, and long-lasting procedures. Smaller gaps can be corrected with direct or indirect veneers, composite bonding, or porcelain veneers, while larger gaps may require a combination of cosmetic and orthodontic treatments. Each procedure is designed to blend seamlessly with your natural teeth, giving you a flawless smile.

At our best teeth gap closing clinic, we focus on delivering safe, aesthetic, and permanent results. Our experienced cosmetic dentists ensure that every treatment is customized, providing quick recovery and maximum comfort. Whether you are dealing with midline gaps or generalized spacing, our advanced techniques restore dental function while enhancing your smile’s beauty. Book your appointment today at Kkeswani Dental & Polyclinic and get the perfect smile you’ve always dreamed of with our expert teeth gap closure solutions.

What the Causes Gaps Between Teeth?

Concerned about your teeth gap? Visit Kkeswani Dental & Polyclinic, where our expert dentists provide advanced teeth gap closure treatments in Ahmedabad for a confident, beautiful smile. Several factors can lead to teeth gaps, also known as diastema. Common causes include:

  • Genetics: Naturally small teeth or wide jaw spacing often create visible gaps.
  • Missing Teeth: When a tooth is lost, surrounding teeth may shift, resulting in gaps.
  • Tongue Thrusting: Constant pressure from the tongue against the teeth can gradually push them apart.
  • Gum Disease: Weak gums or bone loss may loosen teeth and create spacing.
  • Thumb Sucking or Pacifier Use: Prolonged childhood habits can affect alignment, leading to gaps.

Why Do You Need Teeth Gap Treatment?

Choosing professional teeth gap closure treatment in Ahmedabad ensures both cosmetic enhancement and improved dental health. At Kkeswani Dental & Polyclinic, we provide:

  • Advanced Cosmetic & Orthodontic Solutions: From bonding, veneers, and crowns to Invisalign, we offer comprehensive treatment options.
  • Personalized Smile Makeovers: Customized procedures based on your objectives, lifestyle, and budget.
  • Affordable Pricing & Flexible Payment Plans: High-quality treatment made cost-effective and accessible.
  • Fast, Painless & Hassle-Free Procedures: Most treatments are minimally invasive with little to no downtime.
  • Expert Cosmetic Dentists in Ahmedabad: Highly experienced specialists delivering flawless and natural-looking results.

Procedure for Gap Between Teeth Treatment

At Kkeswani Dental & Polyclinic, the first step in closing gaps between teeth is to identify the root cause. Simply correcting the spacing is not enough — long-lasting results require treating the underlying issue. A detailed analysis is carried out to determine whether the gap is limited to one or two teeth or more generalized across the smile.

Based on the diagnosis, treatment options include:

  • Dental Bonding: Ideal for small gaps, tooth-coloured fillings blend with your natural teeth for seamless results.
  • Dental Veneers: Available in composite or porcelain (Emax, Ivoclar Vivadent), offering excellent aesthetics with minimal tooth alteration.
  • Dental Crowns: Advanced zirconia crowns provide strong, natural-looking results, though they require more preparation than veneers.
  • Braces or Aligners: The most effective solution for generalized spacing, with options such as clear or tooth-coloured braces for discreet treatment.

Teeth Gap Treatment Cost in Ahmedabad: Fix Gap Between Teeth

Looking for the best treatment to fix gaps between teeth in Ahmedabad? At Kkeswani Dental & Polyclinic, we provide advanced and painless teeth gap closure treatments meet to your needs. Our procedures deliver natural-looking, long-lasting results that enhance both your smile and oral health.

The teeth gap treatment cost in Ahmedabad at our clinic starts from Rs. 14,000/-, making it an affordable and effective solution for patients of all ages.

Book your consultation today at Kkeswani Dental & Polyclinic and take the first step towards a confident, flawless smile.

Best Dentist For Teeth Gap Alinger

Image

Dr. Tanisha Kkeswani

BDS, MDS, Braces | Aligner Specialist

Meet the academic achiever of Manipal University, Dr. Tanisha Kkeswani. Her prowess is in fixing facial aesthetics, working with the advance braces system and has been successfully spreading smiles for 10 years.

Education

  • BDS From SDM Dental College, Dharwad
  • MDS ( Orthodontics & Dentofacial Orthopaedics) From Manipal University
  • Attended Advanced Orthodontics Course From South Korea
Smile Transformations

Real Patient Smile Transformations

21300+

Satisfied Patients

3

Specialist Doctor

15+

Years of Experience

11000

Dental Implants

Why Choose Us

01

Modern Technology

We make use of the most advanced dental technology to provide accurate diagnosis and successful treatments that will have the best possible effects on your oral health.

02

Patient-Centric Environment

We support personalized medical treatment. Each treatment strategy is customized to match your specific needs and preferences in terms of oral health.

03

Expert Dentists

Our dentists are well-trained and experienced, using advanced techniques to ensure a deep, thorough cleaning. We tailor the cleaning process to your specific oral health needs, addressing areas that require extra attention.

04

Always Available

We value your time and resources. For your convenience, we provide flexible scheduling and a variety of payment methods.

05

Prevention & Information

By educating you, we hope to provide you the power to maintain your dental health over the long term.

06

Comfortable Atmosphere

Our top priority is your comfort. We work hard to establish a relaxed and friendly atmosphere for a satisfying dental visit.

Testimonials

What Our Happy Clients Say About Us

Instagram Reel 1
Instagram Reel 2
Instagram Reel 3
Instagram Reel 4
Instagram Reel 5
Instagram Reel 6
Instagram Reel 7
Instagram Reel 8
×
Services

Gap Closer Services available in

Kkeswani Dental Clinic

Our Patients Love Us!

...and their new smiles :)
5.0 ★★★★★

Based on 132 reviews

powered by G o o g l e

Review us on G o o g l e
Mrs Gita Prakash
Ahmedabad

“What a Wonderful Doctor Dr Prattik Kkeswani! I was in complete care and happy to get my teeth cured. Very proficient dentist, highly knowledgeable and friendly. Operated very skillfully my teeth. Whole team of Dr Kkeswani is very humble and caring. Thank you Dr Prattik Kkeswani to bring my smile back.”

Image
Hima Mer
Ahmedabad

“Recently I got my root canal treatment from Kkeswani Dental and Polyclinic. Dr. Prattik is very experienced, polite, and friendly enough to make any patient comfortable enough. the clinic is very hygienic. Staff is very cooperative & great experience overall. Highly recommend. Thank you!”

Image
Priya Shah
Ahmedabad

“Dr. Tanisha is an expert in braises and the clinic is very child friendly, all x-rays happen inhouse. She takes time to explain every single detail and makes the patient comfortable. Since the clinic has seperate rooms with individual dental chairs , there is no disturbance and is very hygienic.”

Image
Akash Gajjar
Ahmedabad

“My personal experience of Kkeswani dental clinic was extremely good. A good vibes and for children special recommendations.”

Image
Shashwat Gopani
Ahmedabad

“Kkeswani Dental Clinic has an amazing team, which can do wonders for your teeth. And in personal treatment, done by Dr. Prattik Kkeswani, I can SMILE without any hesitation than ever before. So for a better smile you should consult him anyday.”

Image
Raghav Totla
Ahmedabad

“Absolutely amazing experience at Kkeswani Dental Clinic with Dr. Tanisha! I visited for a cleaning and was truly impressed by the detailed consultation, soothing ambience and precise treatment. What made it stand out was the genuine care, clear post-treatment guidance and follow-up call the next day. Truly the perfect place for anyone seeking expert dental care with a personal touch!”

Image

Scan the QR to call